Radever Teleradiology is the largest Teleradiology Services provider in India offering teleradiology services in Kenya, Nigeria, Africa, Uganda, Ethiopia, Indonesia, Philippines, Vietnam, Sudan, Tanzania, Botswana, Ghana, Malaysia, Thailand, Mali, Italy, Brazil.
Our Teleradiology Services increases the productivity & profitability of multidisciplinary healthcare teams. With an advanced digital radiology system and the most talented radiologists in the country, Radever Teleradiology can provide you with superior, fully customized teleradiology services. Our centralized, full-service approach to teleradiology provides on-demand reporting for multi-location facilities.
If you are looking for affordable teleradiology India or teleradiology companies in India, then your search is finally over. We provide the best teleradiology services at most affordable rates. Call us now on +91 9844814864.
Radever offers Convenient and affordable radiology ─ anytime, anywhere.
Radever Teleradiology provides comprehensive teleradiology services whenever you need it. We are not just an after-hours backup. We are here to assist you 24/7/365, including weekends and holidays.
Daytime final reads can be provided by teleradiology for vacation and emergency coverage. A flat daily rate fee structure is available for this service.
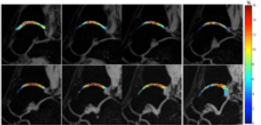
Radever Teleradiology Stroke Protocol Delivers Quick Turnaround with Quality Results

Today, due to increase in radiology volumes, pressure is greater than ever on radiologists, particularly those who still have to report with the same quality even in the emergency setting. This may lead to risk of Radiologic errors. In this scenario, Quality Over Read plays a vital role in the management and review of radiologist report quality. Getting effective treatment depends on identifying the right problem. At least 40 percent of cases who came to Radever for a second opinion received a new or refined diagnosis.
Our second opinion, or over reads service provides an extra level of confidence for medical practitioners and peace of mind for the patients.
What are Quality Over Read Services?
Quality Over Read is a peer review of the reports of a radiologist or radiologist group while simultaneously reviewing the examinations to assess the quality and in turn, ensure compliance with the standard of patient care. This can benefit both onsite radiology groups as well as teleradiology practices.
We as a team are committed to provide detailed reports at really affordable price for MRI, CT, and conventional radiology (X-ray) with essential turnaround time. We have vast experience as a rural and urban Teleradiology healthcare provider.
Our reports focus on acute care decisions allowing more optimal patient care at various (more than 25) hospitals and imaging centers currently spanning Maharashtra, Karnataka, Kerla, Uttarakhand. However, the value we bring to your hospital or diagnostic centers is much more.
Radever also partners with your hospital to capture exams that referring physicians are sending elsewhere through our regular phone calls to your clinicians (unique instant SMS service for your referring clinicians)
Radever understands the needs and limitations of a small diagnostic setup. Our goal is to ensure that rural and community hospitals are able to provide the same high standard of radiology care as is available in big/urban hospitals.
Radever Radiology Provides Radiology and Teleradiology Preliminary Reads that Offer:
Preliminary Teleradiology Reads with Accurate Reporting and Quick Feedback
When your preliminary reads are transmitted via teleradiology, you gain all the flexibility you need, when it is necessary. Radever radiologists are available seven days a week, 24 hours per day. We cover after hours, overflow and emergency workload, or we can simply fill in when you run short on coverage due to vacation schedules, holidays, weekends or meetings.
While Radever Radiology offers consistent quality service with preliminary teleradiology reads, we also value the human aspect of what we provide. We understand your commitment to assure your patients receive optimal care at all times with no exceptions. Argus Radiology will seamlessly support your team to offer the finest comprehensive solutions and support with preliminary teleradiology reads. We deliver on our promises offering you the right balance of technological sophistication coupled with caring professionals who treat your business as if it were their own.